Zahnarztpraxis Ursula Korojan in Pleinfeld 
Zahnarztpraxis Ursula Korojan in Pleinfeld 

Veneers :Verschalung/Verblendung mit hauchdünne Schalen aus keramik, die dauerhaft angebracht werden.

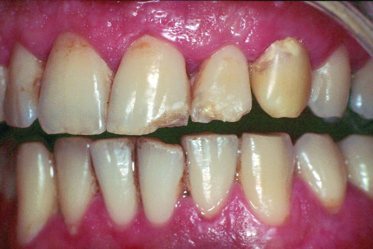
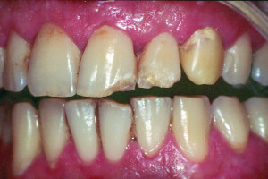
Zahnbefund ohne Verneers
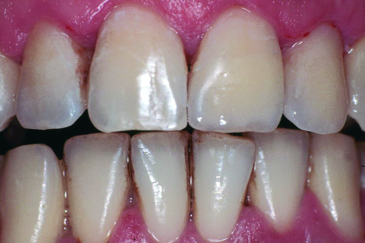
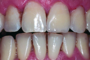
Zahnbefund mit Vernners

Bleeching:

 

Aufhelung der Zahnfarbe mit Hilfe eines Bleichgels

 

 

Unser Programm:

Sie erreichen uns:

Mo bis  Fr  8.00h - 12.00h

Mo               14.00h - 18.00h

Di, Do          14.00h - 18.00h

 

Die Terminvergabe erfolgt telefonisch.

Für Notfälle ist täglich eine Stunde (terminfrei) für Sie reserviert.

 

Seilergasse 4

91785 Pleinfeld

Tel. 09144-927-220

 

 

Anfahrtsskizze: siehe unter Kontakt und Anfahrt

 

Notdienste:

www.zahnarzt-notdienst.de   (bundesweit)

www.notdienst-zahn.de   (Bayern)

 

Druckversion | Sitemap
© Zahnarztpraxis Ursula Korojan

Diese Homepage wurde mit IONOS MyWebsite erstellt.